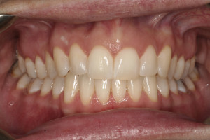
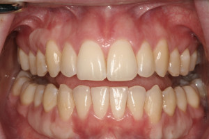
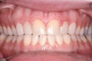
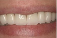
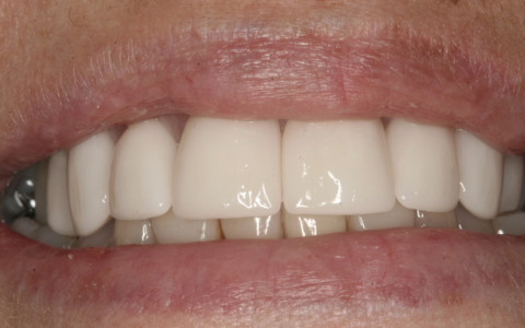
The patient came to our office interested in doing something cosmetically with her front teeth. She did not like the malpositioned teeth on her upper arch and was opting for veneers/crownwork to correct the problem as opposed to Orthodontics. After some Zoom Whitening, our patient had six crowns/veneers completed on her upper front teeth. The results were amazing!
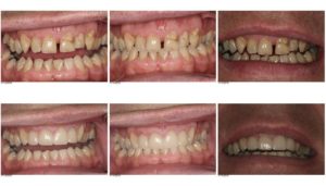
Our patient had been a part of our office for quite some time before becoming interested in whitening and possibly veneering his four upper front teeth. Ultimately he decided to whiten his teeth and have veneers placed as well. He is thrilled with how his teeth came out and so are we!
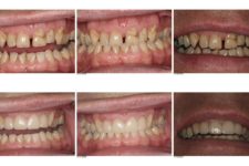
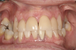
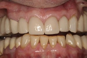
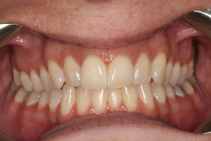
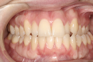
The patient came to our office with very worn teeth due to a grinding habit he has lived with over the years. He was concerned with the appearance of his teeth and opted for full mouth reconstruction through use of orthodontics and some anterior crown work. He has definitely restored his smile beautifully!